保険診療適用の範囲外の材料や技術を使う治療を自由診療 (保険外診療) と言います。当院では、治療前に保険内または自由診療か患者様のご要望をお聞きし、希望に合わせた最適な治療をご提供できるよう取り組んでおりますので、無理に高額な治療費を請求することはありません。
以下はあくまでも目安であり、実際の患者さまの口腔内の状態によって料金は変動します。料金に関するご質問などがあれば、お気軽にお問い合わせください。また、安心して治療を受けていただくために、実際にかかる費用に関しては治療前に見積もりを確認していただき、同意を得た上で治療に着手します。
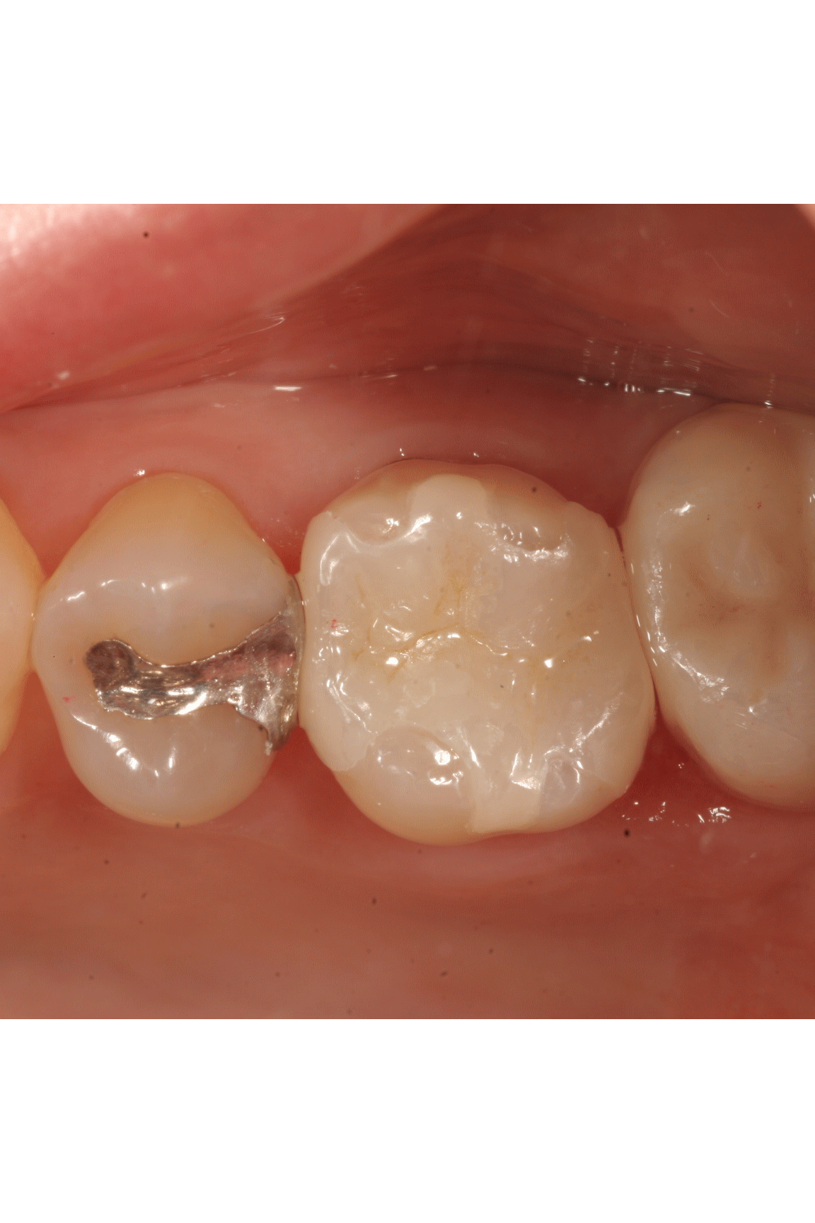
歯の詰め物
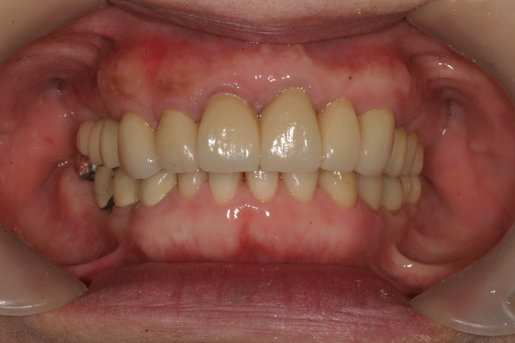
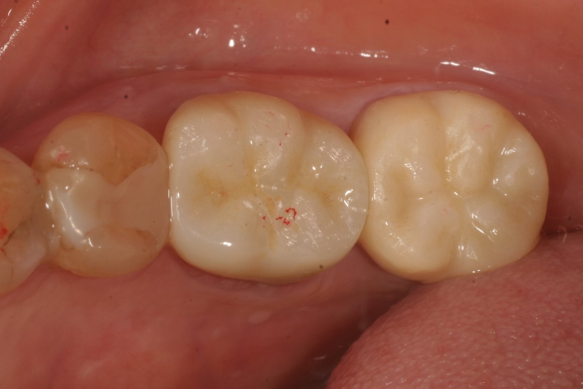
歯の被せ物
(1):内面はジルコニアで表面はポーセレン仕上げ



